Oral Radiology Experts
Welcome To Oral Radiology Experts We’re Your Trusted Partner in Oral Radiology
Revolutionizing Patient Care. Because, We Care.
Our dedication to cutting-edge service and clinical excellence is our defining characteristic, and our business model is built on that mission. By streamlining the process of radiographic consults for dentists, Oral Radiology Experts can increase provider productivity and decrease office administration time, improve patient outcomes, and ease provider peace of mind.Â
We will work directly with providers to create customized radiology programs that cater to your practice’s needs. With remote access options an Oral and Maxillofacial Radiologist can access radiographs without relying on lengthy referral and upload processes. A HIPAA compliant portal is another way we can work with your needs and preferences. Report formats can be customized to fit the needs of your office.
We look forward to joining your dental team!
Areas of Our Practice
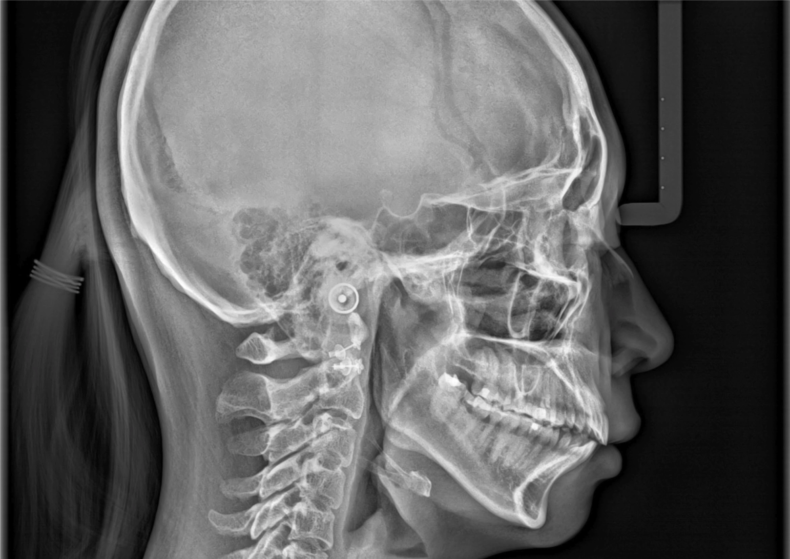
CBCT Imaging Evaluation
2D Imaging Evaluation
Often a Panoramic or PA radiograph gives us a wealth of information without additional exposure to the patient. We review these images, for new patients or follow ups, and provide detailed information that will help you improve the patient experience.
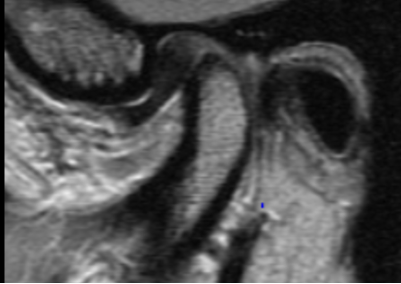
MRI Imaging Evaluation
Education for Dentists & Staff
Book a free consultation
Fill out the form below if you’re interested in working with Oral Radiology Experts. We look forward to discussing details about how this model can work for you.




